一名登山者在水库附近发现了他们“杰出”的祖父的尸体,一个伤心欲绝的家庭向他表达了敬意。 1...
...
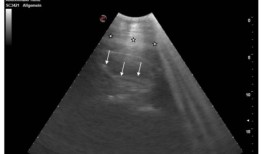
布莱克浦动物园正在准备迎接八只不那么小的脚的到来! 两头怀孕的大象接受了类似于人类的超声波...
...
11月11日(合众国际社)——一只帝企鹅在成为其物种中第一个从南极洲长途跋涉2200英里到澳大利亚的成员后,受到...
...
周一晚上,贾伦·布伦森在第四节拿下全场29分中的11分,纽约尼克斯队以114-109击败洛杉矶湖人队...
...
墨西哥城jóvenes墨西哥塞拉亚市,瓜纳华托州,墨西哥中心país,墨西哥医学学生,墨西哥城más,墨西哥...
...