联合国巴勒斯坦难民机构的几个主要捐助国周六表示,他们将停止向该机构提供资金,此前以色列指责该机构的几名工作人员参...
以色列军方周二声称在加沙北部杀死了数十名巴勒斯坦武装分子。 以色列国防军(IDF 表示,其...
开罗(美联社 ——埃及领导人周日表示,在与内陆国家埃塞俄比亚的争端中,他的国家与索马里并肩站在一起,...
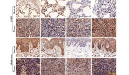
根据最近发表在《临床研究杂志》上的研究结果,西北医学研究人员发现了一种以前未知的肿瘤免疫逃避调节因子...
你可能对罗宾汉没有太多的印象,但自从他的传说起源于15世纪的英国民间民谣以来,他一直是流行文化中的常...
伦敦两所犹太学校决定于周五关闭,以应对支持巴勒斯坦人的大规模示威活动。 埃奇韦尔的Tora...
盖蒂图片社/ 一名佛罗里达女子因涉嫌威胁一家保险公司而被捕,该保险公司拒绝了她的医疗索赔,...
Vision Pro时代才过去几天,当人们还在争论这是娱乐和生产力的未来,还是完全是其他东西的时候,...
加州理工学院(Caltech 医学工程助理教授高伟(Wei Gao 设计了一种“电子皮肤”,可以连续...
新加坡:据新加坡警方2月19日公布的统计数据显示,去年新加坡入店行窃案件数量再次增加,在所有报案的人...